Sjögren Sendromu Nedir?
Sjögren sendromu, ekzokrin (dış) bezlerin (tükrük, gözyaşı, vajinal salgılar, alt ve üst solunum yolu salgı bezleri gibi) öncelikle tutulduğu, sistemik otoimmün bir hastalıktır. Tükrük ve gözyaşı bezlerindeki fonksiyonel ve yapısal bozulmaya bağlı kalıcı ağız ve göz kuruluğu, hastalığın en önemli işaretidir. Ayrıca hastalık, başta kas-iskelet sistemi olmak üzere, akciğer, damar, böbrekler, mesane, lenf nodu, karaciğer, pankreas, gastrointestinal ve sinir sistemi, gibi birçok organ ve sistemi tutulabilir. Hastalık tek başına bulunduğunda, ‘primer Sjögren sendromu’; romatoid artrit, lupus gibi diğer otoimmün romatizmal hastalıklarda birlikte olduğunda ise ‘sekonder Sjögren sendromu’ olarak adlandırılır.
Sjögren Sendromu Kimlerde Olur?
Her yaşta görülebilirse de 40 yaşından büyüklerde daha sıktır. Genellikle her yüz kişiden birinde görülür. Yaşlandıkça görülme sıklığı da %5’e yaklaşır.
Kadınlarda erkeklere göre 9-10 kat daha fazladır.
Romatoid artrit, lupus, Haşimoto tiroiditi, primer biliyer siroz gibi diğer otoimmün hastalıklarla birlikteliği fazladır.
Sjögren Sendromunun Nedenleri Nelerdir?
Sjögren sendromu, otoimmün bir hastalıktır. İmmün sistem (bağışıklık sistemi), vücudumuzun savunma sistemidir. Bazı proteinler üreterek (immünglobulin gibi) veya hücreleri aracılığıyla, bizi yabancı mikroplar ve kanserden korur. Sjögren’de, immün sistem sapkınlık gösterir, vücudun kendi hücresel yapılarına karşı savaş açmasıyla, birçok organ ve sisteme ait inflamasyon (iltihap) ve buna bağlı hasar ortaya çıkar. Buna neyin neden olduğu bilinmiyor. Ancak, tüm otoimmün sistemik bağ dokusu hastalıklarında olduğu gibi Sjögren’de de, kişinin uygun genetik yapısıyla birlikte, çevresel faktörlerin (enfeksiyonlar, ilaçlar, toksinler vs.) etkileşimi sonucunda anormal immün yanıtın oluştuğudur.
Sjögren Sendromunun Bulguları Nelerdir?
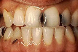
Ağız kuruluğu; en az üç aydır süregelen ağız kuruluğu vardır. Hastalar, katı-nişastalı gıdaları yutarken zorlanma, konuşurken dili damağına yapışmadan yakınırlar. Tükrük salgısı, ağız ve diş sağlığı için çok önemlidir; zararlı bakterilerin yerleşmesini önler. Ağız kuruluğuna bağlı; sık diş ve diş eti problemleri, ağız içinde mantar plakları gibi hastalıklar eşlik eder.
Göz kuruluğu; en az üç aydır olan göz kuruluğu vardır. Gözlerde batma, yanma, kum kaçmış gibi bir his olur. Suni göz yaşı damlası ve jeli kullanma öyküsü vardır. Göz yaşı, gözde adete bir film tabaka oluşturur ve içerdiği bazı maddeler ile gözü, yabancı cisim ve enfeksiyonlardan korur. Göz kuruluğunun şiddetli olmasıyla keratit veya korneada ülserler gibi hastalıklar gelişir.
Genellikle iki taraflı tükrük bezlerinde kulak önünde ve çene altında (parotis veya submandibular) ağrısız şişme.
Eklemlerde (özellikle el eklemleri gibi küçük eklemlerde) ağrı, şişlik veya sabah tutukluğu,
Ciltte kuruluk veya deri döküntüsü,
Vajinal kuruluk,
Sürekli kuru öksürük,
Uzun süreli yorgunluk,
Sık üst veya alt solunum yolu enfeksiyonu (solunum yolu salgılarının azalması ile-sinüzit, farenjit, larenjit, pnömoni, bronşektazi gibi)
Sjögren Sendromunun Komplikasyonları Nelerdir?
Diş çürükleri, diş eti hastalıkları, ağız kokusu, ağız içinde mantar enfeksiyonu; bazen yemek borusuna kadar uzanabilir.
Göz kuruluğuna bağlı, ışığa hassasiyet, görmede bulanıklık, korneada ülserler.
Vajinal kuruluğa bağlı enfeksiyon, akıntı, ağrılı cinsel ilişki, vs.
Farenjit, larenjit, sık üst ve alt solunum yol enfeksiyonları
Daha az; akciğer (yaygın interstisyel akciğer hastalığı, plevral effüzyon, gibi), böbrekler ( renal tübüler asidoz, glomeronefrit gibi), karaciğer (hepatit, siroz gibi) problemlerine neden olur.
Sistit,
Sjögren sendromlu gebelerin sadece küçük bir kısmında, kanlarında bulunan otoantikorların (anti-SSA/anti-Ro, anti-SSB/anti-La, anti-RNP) bebeğe geçmesiyle, yeni doğanda cilt döküntüsü, kalp problemleri gibi sorunlara neden olabilir.
Lenf nodları: Primer Sjögren sendromlu kişilerde normal popülasyona göre 44 kat artmış, lenfoma riski vardır.
Nadiren nörolojik olarak sinir uçlarını tutarak; yanma, uyuşma ve karıncalanmaya neden olabilir (periferik nöropati) veya beyin dokusunu tutabilir.
Tanı ve Laboratuvar Testler:.png)
Öncelikle ağız ve göz kuruluğu yapabilecek nedenler, ilaçlar ve hastalıklar (hepatit C enfeksiyonu, diyabetes mellitus, sarkoidoz, boyuna radyasyon uygulanması gibi) dışlanmalıdır.
Ağız kuruluğunu göstermek için tükrük testi yapılır. En az 4 saatlik açlıkla, tükrük salgısını uyaran olmaksızın, 15 dakika boyunca tükrük biriktirilir, 1,5mL ve altında ise ağız kuruluğu vardır.
Göz kuruluğunu ortaya koymak için; Schirmer test (göz yaşı miktarı), göz yaşı kırılma testi (göz yaşının kalitesi) ve boya testleri (korneada epitel hasarını göstermek için) yapılır.
Tam kan sayımı, karaciğer ve böbrek fonksiyon testleri, tam idrar analizi, kan elektrolitleri (sodyum, potasyum) bakılır.
Anti-SSA (diğer adıyla anti-Ro) ve anti-SSB (diğer adıyla anti-La) antikorlarına bakılır.
Ayrıca ANA ve RF antikorları da pozitif olabilir.
Minör tükrük bezi biyopsisi (alt dudak iç kısmından alınır)
Siyalografi
Tükrük bezi sintigrafisi
Akciğer grafisi, gerekirse akciğer tomografisi, gibi diğer organ ve sistemlere ait görüntüleme de yapılabilir.
Sjögren Tedavisi:
Ağız hijyeninin sağlanması, diş ve diş eti bakımı (ağız gargarası, sensitif-hassas diş macunlarının kullanılması gibi), tükrük salgısını uyaracak şekersiz sakız çiğnenmesi.
Tükrük salgısını uyarmak için sakınca yoksa, pilokarpin ve cevimelin kullanılabilir.
Göz kuruluğu için; suni göz yaşı ve jelleri kullanılabilir. Gerekirse siklosporin içeren damlalar göz hekimince verilebilir.
Hidroksiklorakin 200mg tb. İmmün sistem üzerine düzenleyici etkileri vardır. Özellikle; halsizlik, kas ağrıları ve eklem yakınmalarına iyi gelir.
Steroid olmayan ağrı ve inflamasyon gideren ilaçlar; kas-iskelet sistemi ağrılarında kullanılabilir.
Akciğer, sinir tutulumu gibi diğer organ ve sistemlerin tutulumunda, immünsüpresif tedaviler kullanılır.
Yaşam Stili ve Diğer Öneriler:
Kulak önünde veya çene altında veya vücudunuzda gelişebilecek şişliklerde, hemen doktorunuza başvurun.
Ağız sağlığınıza özen gösterin ve düzenli diş hekiminize kontrole gidiniz.
Tuzlu su spreyleri kullanarak burnunuzu nemlendirebilirsiniz.
Bulunduğunuz ortamın nemli olması çok önemlidir. Bu nedenle ev veya iş yerinizde oda nemlendirici cihazlar (ev tipi-buhar makineleri) koyabilirsiniz. Havalandırma ve klimalar kuruluğunuzu artıracaktır. Eğer kullandığınız suni göz yaşı, gözde kaşıntı ve kızarıklığa neden oluyorsa, doktorunuza danışarak başka birine geçebilirsiniz.
Bol sıvı tüketin ve ağzınızda tükrük salgısını uyaran limonlu veya farklı aromalardaki şekersiz şeker veya sakız dolaştırabilirsiniz.
Cilt kuruluğu için yoğun nemlendirici losyonları, banyodan hemen sonra; henüz cilt nemliyken kullanabilirsiniz.
Prof. Dr. Nuran Türkçapar