Prof. Dr. Tarık ŞAPÇI

Kulak Burun Boğaz-Baş ve Boyun Cerrahisi Uzmanı

 

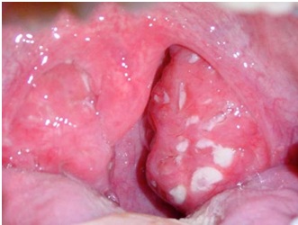
AKUT TONSİLLİT (BAĞDEMCİK İLTİHABI)

“BETA BAKTERİSİNE BAĞLI”

A-Grubu Beta hemolitik streptokoklar, bakteri türü mikroplardır. Özellikle kış aylarında kapalı ortamlarda bir arada bulunan insanlarda boğaz iltihaplanmalarına, yani farenjite neden olurlar. Streptokoklar, solunum yollarından havayla çıkan damlacıkların insandan insana geçmesiyle bulaşırlar. En sık 5-15 yaş arasındaki çocuklarda hastalık yaparlar.

Boğaz ağrısı ve ateşi olan çocukların yaklaşık %10'unda A-Grubu Beta hemolitik streptokok iltihabı vardır. Boğazın ve bademciklerin  iltihaplanması olan farenjit ve tonsillit nedeniyle çocuğun yutkunması ve beslenmesi güçleşir, kötü ağız kokusu olur. Streptokok farenjiti olan çocuğun ateşi genellikle 38°C'den yüksektir; titremeler, vücutta ağrılar ve iştahsızlık olur. Birlikte karın ağrısı, bulantı ve kusma gibi karın belirtileri de bulunabilir. Bakıldığında bademcikler ve boğazda kızarıklık, küçük dilde şişlik ve bademcikler üzerinde beyaz lekelenmeler görülür. Alt çene kemiğinin köşesinde ve boyunda lenf bezleri şişmiş olabilir.

Bazen streptokok iltihaplarında, mikropların salgıladığı toksinler deride yaygın kızarık döküntüye neden olur. Bu durumda hastalığın adı "kızıl"dır ve genellikle boğaz iltihabının 2.gününden 6.gününe kadar sürer. Tedavi edilmeyen veya yetersiz tedavi edilmiş streptokok iltihapları, nadiren ateşli romatizma adı verilen ve kalp romatizması ile eklem iltihaplarına neden olabilen bir hastalığa da yol açabilirler. A Grubu Beta hemolitik streptokok iltihaplarının bir diğer nadir komplikasyonu da, hastalığın başlangıcından 2-3 hafta sonra ortaya çıkabilen böbrek iltihabıdır. Streptokoklar ayrıca sinüzite, orta kulak iltihabına, zatürreye ve deri iltihaplarına da neden olabilirler.

Hastalık sırasında beta mikrobu bulaşıcıdır. Bazı çocuklar streptokok mikrobunun taşıyıcısı olabilirler. Boğaz kültürlerinde beta üremesine rağmen kendilerinde hiçbir hastalık belirtisi bulunmayan okul çağındaki taşıyıcı çocukların oranı %5-15'dir. Taşıyıcı çocukların tedaviye ihtiyaçları yoktur, ayrıca bulaştırıcı değildirler. 

Streptokoklara bağlı boğaz iltihaplarını önlemenin kesin bir yöntemi yoktur. En güvenli yol, evde boğaz iltihabı olan bir kişi varsa, bu kişiyle çok yakın temasta bulunmamak ve genel hijyen kurallarına dikkat etmektir.

Çocuğunuzun boğazında A Grubu Beta hemolitik streptokok iltihabından şüphelendiğinde, doktorunuz boğaz kültürü yapılmasını isteyecektir. Eğer boğaz kültüründe üreme olursa bu inceleme mikrobun türünü tayin edecek ve hangi antibiyotiklerin tercih edilebileceğini bildirecektir. Çocuğunuzda A Grubu Beta hemolitik streptokok iltihabı olduğu kesinleşirse, ağızdan ya da enjeksiyon şeklinde verilebilen bir antibiyotik ile tedavi edilmesi gerekecektir. Tedavi süresi 10 gündür.

A Grubu Beta hemolitik streptokok iltihaplarının inkubasyon dönemi (bulaşma ile hastalık oluşma arasında geçen süre) genellikle 7-10 gündür. Boğaz iltihaplarında ateş genellikle 5 gün içinde düşer, bunu takiben boğaz şikayetleri de azalır. Antibiyotik tedavisi genellikle 10 günde tamamlanır. Eğer belirtiler düzelmişse ve ateş yoksa, antibiyotik tedavisinin başlanmasını takibeden 48. saatten sonra çocuğunuz okula gidebilir. İlk 48 saatte bulaşıcılık devam eder ve okuldaki başka çocukların da hastalanması için risk oluşturur. Şikayetler kısa sürede kaybolsa bile, ilaçlar doktorunuz tarafından önerilen süre ve dozda kullanılmaya devam edilmelidir.

Eğer çocuğunuz boğaz ağrısı nedeniyle yemekte güçlük çekiyorsa yumuşak veya sıvı gıdaları tercih edin. Çocuğunuzun bol sıvı almasını (su, meyve suları vb) ve istirihat etmesini sağlayın.

Oda havasının nemlendirilmesi, çocuğunuzun boğaz şikayetlerini azaltacaktır. İlaçları doktorunuzun önerdiği süre ve dozda kullanmaya özen gösterin. Bu, ateşli romatizma ve bademcikler etrafında abse gelişmesi gibi komplikasyonların önlenmesi için mutlak gereklidir.

Çocuğunuzun boğazında streptokok iltihabının belirtileri varsa, özellikle de evde veya okulda başka birisinin yakın zamanda streptokok iltihabı geçirdiğini biliyorsanız doktorunuza başvurun.

 



Dosya

Özgür Köşe

Dünyada Eczacılık

Sektörel Bakış

Çepeçevre

Kültür Sanat